Чим відрізняється еластографія печінки від УЗД печінки?
Дослідження печінки – одна з ключових ланок діагностики захворювань цього найважливішого органу. Часто пацієнти чують про традиційне ультразвукове дослідження (УЗД), але все частіше призначається і сучасніша методика — еластографія печінки. Нижче розберемо, у чому їх відмінності, коли потрібна еластографія і відповімо на найбільш поширені питання.
Звичайне УЗД печінки – це візуалізація структури органу: розміри, контури, однорідність печінки, наявність вузлів, кіста, жирової інфільтрації та ін.
А ось еластографія печінки (або еластометрія, фіброеластографія) – це ультразвукове дослідження, яке вимірює не просто структуру, а твердість/еластичність тканин печінки.
Інакше кажучи: УЗД відповідає питанням «як виглядає печінка», а еластографія — «наскільки змінена тканина печінки (чи ущільнена вона)».
Щільність або жорсткість печінки важлива при таких станах як фіброз, цироз, стеатоз печінки (жирова інфільтрація) – при цих змінах здорова тканина замінюється сполучною/рубцевою, що відбивається у зниженні еластичності.
Еластографія стала майже «золотим стандартом» для оцінки фіброзу печінки у низці міжнародних посібників.
Таким чином:
- УЗД – дослідження форми та структури.
- Еластографія – дослідження тканини на «ущільнення», що дозволяє виявити більш ранні зміни та оцінити ступінь ураження.
Ця різниця допомагає лікарям точніше визначати ступінь захворювання печінки, новий план лікування чи спостереження.
Як проводиться еластографія печінки, скільки триває та які особливості підготовки?
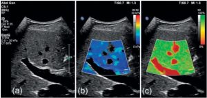
Процедура дуже схожа на звичайне УЗД: пацієнт лягає на кушетку, лікар наносить гель, датчик водять по правому підребер’ю. При еластографії датчик додатково оцінює жорсткість тканини, вимірюючи швидкість поширення хвиль зсуву або модуль Юнга в тканині.
Еластографія може візуалізуватися як кольорова карта (еластограма) або числові значення (наприклад, в кПа) — чим вища жорсткість, то вища ймовірність вираженого фіброзу.
Як правило, процедура триває 10-15 хвилин.
Підготовка
- Як правило, перед дослідженням рекомендується: легка вечеря напередодні, не переїдати, а вранці – не їсти (або мінімум) і утриматися від важкої їжі.
- Відмова від алкоголю мінімум за 24 години.
- Також часто рекомендується утриматися від інтенсивного прийому їжі за кілька годин до дослідження, щоб знизити навантаження на печінку та жовчний міхур.
Кому показана еластографія печінки та що вона може показати?
Еластографія печінки рекомендована при таких ситуаціях:
- при хронічних вірусних гепатитах (наприклад, хронічний гепатит С або хронічний гепатит В) — щоб оцінити ступінь фіброзу.
- при жировій хворобі печінки (стеатозі) – особливо якщо є ожиріння, цукровий діабет, порушення обміну речовин.
- при підвищених ферментах печінки (АЛТ, АСТ та ін.), підозрі на фіброз чи цироз.
- при необхідності моніторингу стану печінки після лікування чи корекції способу життя.
На відміну від УЗД

Якщо фахівець бачить на УЗД підозру захворювання печінки, але хочеться глибшої оцінки — еластографія стане логічним доповненням. Пройти обстеження можна у м. Запоріжжі, у медичному центрі «Юнімед».
